Dental Implants River Ridge
The Closest Match to Your Natural Teeth
If you are among the 178 million people in the United States who are missing at least one tooth, you have many options these days for completing your smile. However, none of them look or feel nearly as lifelike as dental implants. By recreating the entire structure of the teeth, dental implants are by far the closest match to your natural teeth. At Plaisance & Bostick Family Dentistry, our dentists partner with local dental implant specialists to ensure your new smile looks and feels like new. Contact us today to set up your consultation for dental implants in River Ridge, LA!
Why Choose Plaisance & Bostick Family Dentistry for Dental Implants?
- Dentists Partner with Local Specialists for Implant Placement
- Serving the River Ridge Community Since 1980
- Flexible Dental Financing Options Available
What Are Dental Implants?

A dental implant is a small, screw-shaped post that is usually made from titanium due to its biocompatible properties. During a minor surgical procedure, the implant is positioned into the jawbone. It naturally bonds with the surrounding bone, allowing it to provide sturdy support for a customized dental crown that is secured on top. Multiple implants can also be used to secure a dental bridge or even a full denture in place. In any case, you can count on dental implants to deliver lifelike replacement teeth that stay in place and can last for decades to come!
The 4-Step Dental Implant Process

- Consultation – First, Plaisance and Dr. Bostick will need to verify that you’re a good dental implant candidate by conducting initial exams of your mouth and jaw and reviewing your overall health.
- Surgery – You will be referred to an outside implant specialist who will place each post into your jawbone. Depending on the number of teeth you are missing, you may need anywhere from 1-6 implants to rebuild your smile.
- Osseointegration – After being surgically placed, the implants need time to bond to the natural tissue and bone, creating a solid foundation that will be able to support replacement teeth. This process, called osseointegration, can take up to six months.
- Restoration – Once you’ve successfully healed, you’ll return to our practice so that Dr. Plaisance and Dr. Bostick can create strong, custom-made prosthetic teeth that sit on top of the implants.
Benefits of Dental Implants

Dental implants offer several exceptional benefits for patients, especially when compared to their more traditional alternatives. These include:
- They replicate the entire structure of your natural tooth (both crown and root), so patients can enjoy stronger oral health. This also reduces the chances of jawbone deterioration in the long run.
- Dental implants can be treated just like natural teeth – this means that you won’t have to make any changes to your diet or oral hygiene routine!
- Dental implants are designed to be truly permanent. With the right amount of diligent homecare and professional maintenance from our dedicated doctors and staff, they can last the rest of your life.
Who Dental Implants Can Help

In most cases, as long as you are an adult with healthy gums and adequate bone density in your jaw, you can qualify for dental implants. However, we will need to discuss your medical and lifestyle history to ensure your risk factors for implant failure are minimal. In addition, digital images will be taken to confirm whether your jawbone is ready for implant placement. We can then devise a custom treatment plan based on the extent of your tooth loss.
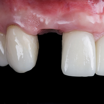
Missing One Tooth

Closing the gap created by a single missing tooth is fairly simple. We vertically insert an implant post into the space before restoring it with a dental crown. This solution doesn’t necessitate altering your remaining teeth, making it healthier and less invasive than a traditional dental bridge.
Single Tooth Dental Implants

If you are among the 178 million people in the United States missing at least one tooth, you can permanently replace your lost tooth with single-unit dental implants in River Ridge. At Plaisance & Bostick Family Dentistry, we offer dental implants to regain a complete smile. When compared to other options to replace a lost tooth, dental implants provide the most benefits with a lifelong solution.
Benefit from Permanent Tooth Replacement

Dental implants are different than other options to replace a lost tooth because it is permanent. The root and crown are replaced to give you the only replacement option that most closely mimics the appearance and function of a natural tooth.
A dental implant is composed of three parts: implant post, abutment, and dental crown. The implant post is made from titanium, so it is biocompatible. Using a surgical procedure, the post is implanted into the jawbone to replace the tooth root. The jawbone naturally fuses to the implant post, creating a secure foundation for the restoration. In addition, the post helps stop bone loss to protect your remaining natural teeth.
After your jawbone has fused to the implant post, a second procedure is needed to attach the abutment. The gum tissue is opened to expose the implant post before the abutment is attached. This allows your gum tissue to heal correctly while also anchoring the replacement crown to the post.
A few weeks after the abutment is placed, a custom-made restoration is attached. With the right care, your new tooth will last a lifetime.
Choose a Lifelong Solution

If you are ready to say goodbye to an incomplete smile, you need to schedule a consultation with Plaisance & Bostick Family Dentistry to see if dental implants in River Ridge are right for you.
After determining that you are a candidate for a dental implant, a comprehensive treatment plan is created. Dr. Plaisance or Dr. Bostick will refer you to a highly reputable specialist for the placement of your dental implant and abutment. Once you have fully healed, you will return to our office for the restoration process. We will create a custom-made, all-ceramic dental crown to complete your smile.
Your Dentist for Dental Implants

Now, you can replace a missing tooth without having to change adjacent teeth. You will invest in your oral health and quality of life with the only option that is the closest thing to a natural tooth.
Achieve a complete smile today. Schedule your consultation with Dr. Plaisance or Dr. Bostick for a single-unit dental implant.
Missing Multiple Teeth

A dental bridge can be placed onto two implants rather than your natural teeth, allowing us to bring back up to four teeth in a row with only two posts. For sporadic gaps throughout the arch, we can attach a partial denture to a small number of expertly positioned implants.
Missing All Teeth

On average, four to eight implants can support a full denture. Compared to conventional prosthetics, implant dentures allow you to be fully confident while speaking or eating. In the past, patients would have to take their dentures out before enjoying a meal, as chewing could cause their prosthetics to come loose. With implant dentures, that is no longer the case. You can eat and speak with confidence, never worrying about the embarrassment of your false teeth falling out.
Understanding the Cost of Dental Implants

As a major, potentially lifelong treatment, the cost of dental implants is probably a pressing factor on your mind. Since each dental implant treatment is personalized, providing a cost estimate before your consultation is next to impossible. It’s worth noting, however, that dental implants may cost more at first than regular dentures and bridges, but you’ll be making an investment that can pay for itself many times over in the long run.
Dental Implant FAQs
Are Dental Implants Safe?
For most patients with good health, dental implants are very successful when placed by a qualified professional. If you have low jawbone density or gum disease, your implant dentist in River Ridge can fix these problems to make dental implant surgery safer and more successful. If you have diabetes, cancer, or other medical conditions that could make surgery/healing risky, we can discuss that during your consultation.
How Long Do Dental Implants Last?
Dental implants are one of the most permanent solutions for missing teeth, capable of lasting well over 30 years. Of course, their exact lifespan depends heavily on your oral health and lifestyle. You can ensure your new smile’s durability by brushing twice a day along with daily flossing and rinsing with an ADA-approved mouthwash. Make sure you visit our dental team every six months for a checkup and cleaning as well!
How Long Does Dental Implant Surgery Take?
It depends on how many implants you receive at once. Generally, placing a single implant takes 1-2 hours. This includes the time needed to administer anesthesia and dress you for a sterile surgical atmosphere.
Do Dental Implants Feel Natural?
Once they are placed in the jawbone, dental implants will feel exactly like the roots of your original teeth. The implants themselves have no nerve endings. Any sensations that you feel in that area – like heat, cold, or pressure – come from the gums surrounding the implants.
What Can Cause Dental Implants to Fail?
Dental implants usually fail for one of two reasons: peri-implantitis and failed osseointegration. Peri-implantitis is a type of gum disease that develops from poor oral hygiene, damaging the jawbone and soft tissue. Meanwhile, failed osseointegration is exactly as the name implies – when the implant fails to integrate with the jawbone successfully. A few other causes of dental implant failure include chronic teeth grinding, poor oral hygiene, certain medications, and health conditions like diabetes and cancer.
Will I Have to Take Off Work for Dental Implant Surgery?
In most cases, patients typically only need to take a day or two off work to get dental implants. Of course, every case is unique, meaning the exact amount of time you’ll need to take off will be based on your specific situation. If you work a physically demanding job, you should ideally take three to four days off. Strenuous exercise could divert blood from the implant site and delay healing.